インプラントの治療実績・難症例
Implant Museum by Koike Dental Clinic

インプラントミュージアムとは

近年 著しい進歩を遂げたインプラント治療
朝霧インプラントの治療症例から 感性的に
視覚的に その現状をお見せするのが
ミュージアムの目的です
それは 決してバーチャルな世界ではなく
理想に近づいた現実です

  • 朝霧インプラント
  • Implant Museum このサイトについて
  • Entrance of Implant Museum
  • 朝霧インプラント

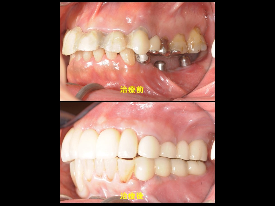
   症例27   

   症例27   

Category

    • 症例1
    • 症例2
    • 症例3
    • 症例4
    • 症例5
    • 症例6
    • 症例7
    • 症例8
    • 症例9
    • 症例10
    • 症例11
    • 症例12
    • 症例13
    • 症例14
    • 症例15
    • 症例16
    • 症例17
    • 症例18
    • 症例19
    • 症例20
    • 症例21
    • 症例22
    • 症例23
    • 症例24
    • 症例25
    • 症例26
    • 症例27
    • 症例28
    • 症例29
    • 症例30
    • 症例31
    • 症例32
    • 症例33
    • 症例34
    • 症例35
    • 症例36

page top △

  • HOME
  • このサイトについて
  • インプラントミュージアム
  • 神戸 明石 朝霧インプラントセンター
Copyright © 2022 KOIKE DENTAL CLINIC. All Rights Reserved.